Understanding oncology diagnostics and therapeutics

December 3, 2025

Multiple approaches to cancer treatment can be initiated by primary care veterinarians.

What can primary care veterinarians do to provide care to patients with cancer? These approaches can help guide treatment.

General cancer staging

German shepherd

Staging is a critical step in cancer patient management, but it does not always require referral to a specialist to be performed effectively. Most staging procedures—such as complete blood count, serum chemistry panel, cytologic evaluation of regional lymph nodes, and 3-view thoracic radiographs—are standard diagnostic tests readily available in general practice.

These tools provide essential information about the extent of disease, metastatic potential, and overall patient health, guiding both treatment decisions and client expectations. For example, aspirating a regional lymph node in a dog with a mast cell tumor or obtaining thoracic radiographs in a soft tissue sarcoma or osteosarcoma case are impactful yet straightforward steps that can be performed in-house. When these results accompany a referral, they not only streamline case management but also reduce client costs and improve continuity of care. By recognizing that cancer staging is based upon the same diagnostic principles used in primary care, veterinarians can confidently contribute to accurate diagnosis, timely treatment planning, and collaborative oncology care.

Key tests for primary care

  • Lymphoma: Complete blood count (CBC), serum chemistry, consider 3-view thoracic radiographs with radiologist review
  • Mast cell tumor: CBC, serum chemistry, consider regional lymph node cytology
  • Soft tissue sarcoma: CBC, serum chemistry, 3-view thoracic radiographs with radiologist review
  • Osteosarcoma: CBC, serum chemistry, radiographs of affected limb, 3-view thoracic radiographs with radiologist review
  • Melanoma: Mass measurement and photo, CBC, serum chemistry, 3-view thoracic radiographs with radiologist review, regional lymph node cytology

Clinical takeaways
Performing baseline staging in-house supports faster case turnover, more informed prognostication, and smoother communication with oncology referral centers. Most initial cancer staging can be efficiently and accurately performed by primary care veterinarians, expediting or even in some cases replacing oncology referral and reducing client cost.

Diagnosing lymphoma with a blood test

The IDEXX Cancer Dx is a new blood-based screening/diagnostic panel aimed at detecting canine lymphoma from serum or whole blood. It reports the presence or absence of lymphoma-associated circulating biomarkers and, when positive, can provide a B- vs T-cell phenotype classification in some cases.1

Key performance numbers2:

  • Sensitivity: ~79% for dogs with lymphoma in IDEXX’s internal validation.
  • Specificity: ~99% versus healthy controls and dogs with inflammatory disease/other cancers in the same internal dataset.

Practical details:

  • Sample: single blood draw (serum or whole blood). Interference from mild–moderate hemolysis, lipemia, or icterus is reportedly minimal.
  • Intended use cases highlighted by IDEXX:
  • Dogs suspected of having lymphoma
  • Cancer screening for apparently healthy “at-risk” dogs (IDEXX suggests integration within wellness panels for older dogs).
  • Cost/rollout: IDEXX promotes the test as low-cost (advertised as starting around US$15 as an add-on) and has been available in the US and Canada as of March 2025.1

How to use it in primary care:

  • If lymphoma is suspected clinically (lymphadenopathy, constitutional signs, cytology suspicious): Cancer Dx can be run on the blood sample as a noninvasive adjunct, but positive results still require confirmation with cytology/biopsy/flow/PCR for antigen receptor rearrangement (PARR) as clinically indicated. A negative result does not rule out lymphoma because sensitivity is <100%.
  • If used for screening (as an add-on in older / at-risk dogs): discuss with owners that the test increases the chance of detecting lymphoma earlier, but is not a guarantee—explain the possibility of false negatives and what you’d do if the test is positive (confirmatory diagnostics, staging conversation).

Clinical takeaways
The IDEXX Cancer Dx is a practical, low-cost blood test that helps detect canine lymphoma earlier and in some cases supplies phenotyping information useful for initial case planning. It’s a reasonable adjunct for dogs with clinical suspicion and an attractive screening add-on for older/at-risk dogs — but it is not diagnostic by itself. Use positive results to prompt confirmatory diagnostics such as cytology/biopsy/flow cytometry/PARR, and use clinical judgment for negative results because sensitivity is not 100%. Consider the current evidence base (IDEXX internal validation data only) and watch for independent peer-reviewed studies as they emerge.

Immunophenotyping Canine Lymphoma

Immunophenotyping (determining B-cell vs. T-cell origin) is now considered a standard part of lymphoma diagnosis because it directly influences prognosis and treatment expectations. Multiple studies confirm that dogs with T-cell lymphoma have shorter survival times and lower response rates to standard CHOP chemotherapy compared to dogs with B-cell lymphoma.

  • In one study, T-cell lymphoma had only a ~50% response rate to single-agent doxorubicin, versus nearly 100% for B-cell lymphoma.3
  • T-cell protocols incorporating alkylating agents such as lomustine (CCNU) have shown partial responses in ~60% of cases and complete responses in 17%.4
  • Modified multiagent protocols (eg, L-MOPP, CCNU-based CHOP variants) may offer benefit, but toxicity and practicality limit their use in general practice.5
  • A prospective study comparing CHOP +/- the investigational agent AT-005 in T-cell lymphoma demonstrated similar response rates (~65% CR) and median progression-free survival (64–103 days), confirming that outcomes remain inferior to B-cell lymphoma.6

Methods for immunophenotyping

Flow cytometry (preferred):

  • Most informative test of all those available. Confirms B-cell vs. T-cell, but also provides additional prognostic markers that can indicate grade and expected behavior
  • Can be performed on tissue aspirate (ie, lymph node, organ) or fluid (ie, blood, effusions, CSF)
  • Requires live cells in media and overnight shipping
  • Available at multiple academic and reference labs

PARR:

  • Can be performed on both cytology and biopsy samples
  • Only confirms B-cell vs. T-cell status, does not provide grade
  • Available at most academic and reference labs

Immunocytochemistry (ICC):

  • Can be performed on cytology slides
  • Somewhat subjective
  • Available at some academic and reference labs

Clinical takeaways
Primary care veterinarians can play a crucial role by determining lymphoma immunophenotype before referral and treatment initiation, allowing the care team and pet owners to have a more informed and directed conversation about treatment options and expected prognosis.

  • B-cell: CHOP-based therapy remains standard, potentially good long-term prognosis.
  • T-cell: Expect shorter remission; consider referral or alternate protocols.

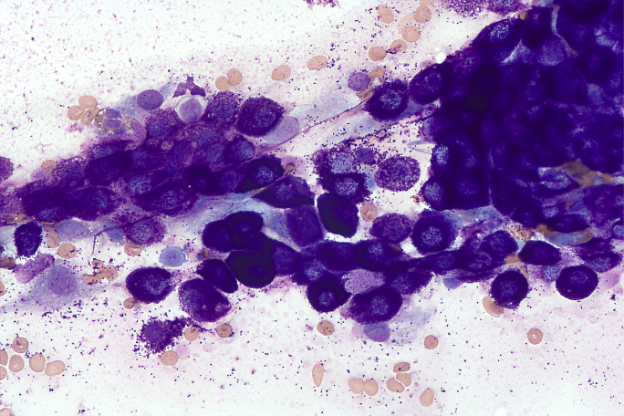
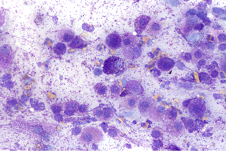
Cytologic Grading of Mast Cell Tumors (MCTs)

Traditional histologic grading remains the gold standard, but cytologic grading is validated as a noninvasive, predictive tool when tissue biopsy isn’t feasible or clinically indicated. Studies have shown that specific cytologic features—including mitotic figures, multinucleation, nuclear atypia, and karyomegaly—strongly correlate with histologic grade and outcome.

  • Cytologic grading predicted histologic grade in 94% of cases.7
  • Cytologic grading carries an 88% sensitivity and 94% specificity relative to histopathology.8
  • Compared to low-grade tumors (Figure 1), cytologically high-grade MCTs (Figure 2) are 25–39 times more likely to result in death within 2 years.7
Figure 1
Figure 2

Clinical takeaways
For general practitioners, cytologic grading provides a rapid, low-cost prognostic tool that can guide surgical planning and inform prognosis. Communicate with reference laboratory to ensure that cytologic grading can be provided for MCT submissions.

Noninvasive diagnosis of Transitional Cell Carcinoma (TCC)

The BRAF mutation test (CADET BRAF Mutation Detection Assay) represents one of the most impactful molecular diagnostics in veterinary oncology. Independent studieshave identified a single-point mutation (V595E) in the canine BRAF gene that is present in ~85% of TCC/urothelial carcinoma (UC) cases, but absent in benign or inflammatory bladder conditions. 9,10

This assay detects the mutant DNA in urine sediment, allowing:

  • Noninvasive diagnosis without aspirate, cystoscopy, or surgical biopsy
  • Early detection—often months before clinical signs
  • Monitoring for response to treatment and early detection of recurrence

A secondary test now detects an additional ~10% of previously negative cases. The test is offered through Antech Diagnostics (BRAF Plus; Sentinel Biomedical platform).

Clinical takeaways

  • Consider this test for any dog with persistent hematuria, pollakiuria, or suspicion of a urinary tumor.
  • Submit a free-catch or catheterized urine sample for CADET BRAF testing before pursuing more invasive diagnostics such as prostatic wash for cytology, cystoscopy, or biopsy.
  • This test eliminates the need for needle aspiration of urinary tumors, a known risk for tumor seeding.
  • This test is 100% specific, so can be performed in dogs with known or suspected urinary tract infection (UTI) without concern for a false positive result.

Oncologic therapies available in primary care practice

Use of verdinexor (Laverdia-CA1; Dechra)

Verdinexor is an oral anticancer medication conditionally approved by the FDA for the treatment of lymphoma in dogs. It belongs to a novel class of compounds known as Selective Inhibitors of Nuclear Export (SINE), which work by trapping tumor suppressor proteins inside the nucleus, thereby restoring normal control of cell growth and promoting cancer cell death.

For the primary care veterinarian, verdinexor offers an important at-home treatment option for canine lymphoma—particularly when referral for multiagent chemotherapy is not possible, or when a client prefers palliative care that still provides measurable clinical benefit.

Efficacy and clinical use

In a multicenter phase II study of dogs with both B-cell and T-cell lymphoma, verdinexor achieved a clinical benefit rate of 55% (stable disease or better), with a median duration of benefit of 71 days (range 21–273 days). Notably, T-cell lymphoma cases, which are often less responsive to traditional chemotherapy, still showed a 71% clinical benefit rate.11 Commonly reported adverse effects are mild and include transient loss of appetite, lethargy, or gastrointestinal upset, which can often be managed symptomatically.

This makes verdinexor a reasonable monotherapy option for:

  • Dogs that cannot undergo intravenous chemotherapy.
  • Patients that have relapsed after CHOP-based treatment.
  • Owners seeking palliative oral therapy that maintains quality of life.

How SINE drugs work with other chemotherapy agents

In addition to its single-agent activity, the SINE drug class has shown synergistic and sensitizing effects when combined with other chemotherapeutics such as doxorubicin and platinum-based agents. These effects may help:

  • Sensitize lymphoma cells to respond better to chemotherapy.
  • Reverse or delay drug resistance that develops after cytotoxic treatment.

Verdinexor vs prednisone: Impact on drug resistance

Historically, prednisone has been used for palliative treatment of lymphoma, but glucocorticoids can induce multi-drug resistance (MDR) by increasing P-glycoprotein expression in lymphoma cells—reducing the efficacy of subsequent chemotherapy and worsening prognosis.12

In contrast, verdinexor is not a substrate for P-glycoprotein, meaning it should not promote MDR or interfere with future chemotherapy response. In clinical studies, dogs receiving prednisone alone survived an average of 4–7 weeks, whereas verdinexor therapy offers a longer median benefit with potentially improved quality of life.11

Potential novel uses

Cutaneous (epitheliotropic) lymphoma is a challenging disease to treat, with lomustine & prednisone considered the current standard of care. New data suggests that verdinexor has efficacy vs. this form and may serve as a novel second line agent.13,14

Clinical takeaways

  • Verdinexor oral tablet can be prescribed and monitored in a general practice setting.
  • It provides a targeted, noncytotoxic option for dogs with newly diagnosed or relapsed lymphoma.
  • It can be considered a bridge between comfort care and referral for chemotherapy.
  • Technicians play a key role in client education—reviewing safe handling, side-effect monitoring, and adherence.

Tigilanol tiglate (Stelfonta; Virbac)—A localized therapy for canine mast cell tumors (MCT)

Tigilanol tiglate is a novel anticancer protein kinase C activator that is FDA-approved for the treatment of certain canine MCTs. Tigilanol tiglate was originally isolated from the seed of the Australian tree Fontainea picrosperma and is now formulated for intratumoral injection.15 Tigilanol tiglate is approved for dogs with all grades of non-metastatic MCTs, including:

  • Any cutaneous MCT
  • Subcutaneous MCTs located at or distal to the elbow or the hock
  • Note: Tumors must be £10 cm3 in volume and accessible for intratumoral injection

How it Works

  • Tigilanol tiglate (1 mg/ml) is injected via a single puncture site into the tumor, then the dose is distributed by fanning the needle throughout the tumor mass.
  • Dose to be injected is calculated based upon tumor volume (Modified Ellipsoid Method, in cm3): https://stelfonta.com/how-to-calculate-correct-stelfonta-dose/
  • Once injected, tigilanol tiglate induces a rapid and localized inflammatory response and destruction of local blood supply to the tumor primarily via ischemic necrosis.
  • Healing of the affected area occurs with minimal scar formation.
  • Most wounds heal within 4-6 weeks; full healing was observed within 3 months in 98.2% of cases16

Efficacy

In a prospective study, a single tigilanol tiglate treatment resulted in 75% complete response (CR) by 28 days, with that CR maintained in 94% of dogs by 84 days and 89% of dogs by 12 months.17 Dogs not achieving a complete response with the first treatment can receive a second treatment, which results in an improved overall CR rate of 88%. Another more recent study (showed similar results—75% CR rate after a single treatment, with that CR lasting at least 1 year in 64% of dogs.18

Adverse Effects

Adverse effects of tigilanol tiglate are typically low grade, transient, and directly associated with the mode of action. These include:

• Wound formation (possibly extensive) following tumor necrosis and slough

• Localized pain, swelling, erythema, and bruising at the tumor site

• Lameness in a treated limb

• Regional lymph node enlargement

Suggested visit schedule:

• Day 0 – injection

• Day 2 or 3 – check site to confirm necrosis occurring

• Day 7 – assess wound

• Day 28 – reassess wound

• Further visits will be dependent upon patient response and wound healing

Tricks of the trade

  • Perform cytologic grading since histopathology will not be obtained
  • If cytologically high grade, expect lower response rate
  • Systemic therapy is warranted for high grade MCTs
  • Perform regional lymph node cytology to confirm nonmetastatic prior to administering tigilanol tiglate.
  • Bandaging and Elizabethan collars are not recommended, as the dog’s licking helps remove necrotic tumor tissue from the site.
  • The treatment site is considered a “clean” wound, so antibiotics are likewise not commonly needed.
  • Consider previsit anti-anxiety and analgesic drugs and/or injectable sedation for treatment of very active or agitated patients.
  • Wear personal protective equipment including gloves, protective eye wear, and a lab coat or gown when handling and administering this product.
  • Caution is required during treatment to avoid accidental self-injection, which may cause severe wound formation.

Clinical takeaways

Tigilanol tiglate is not for every case, but can be a viable nonsurgical option for the following cases:

• Dogs with multiple low grade MCT

• Dog whose owner who elects against surgery

• Dogs with a tumor in a challenging location to obtain a complete surgical removal

References

  1. McCafferty C. Affordable early detection test for canine lymphoma to hit the market. dvm360. January 27, 2025. Accessed December 3, 2025. https://www.dvm360.com/view/affordable-early-detection-test-for-canine-lymphoma-to-hit-the-market
  2. Connell D, Drake C, Michael H, Nascimento, Stuart S, Lyons H. Performance of IDEXX Cancer Dx testing for detection of lymphoma and corresponding phenotype in dogs. IDEXX. 2025. Accessed December 3, 2025. www.idexx.com/files/cancer-dx-white-paper-en-na.pdf
  3. Beaver LM, Strottner G, Klein MK. Response rate after administration of a single dose of doxorubicin in dogs with B-cell or T-cell lymphoma: 41 cases (2006-2008). J Am Vet Med Assoc. 2010;237(9):1052–1055. doi:10.2460/javma.237.9.1052
  4. Brodsky EM, Maudlin GN, Lachowicz JL, Post GS. Asparaginase and MOPP treatment of dogs with lymphoma. J Vet Intern Med. 2009;23(3):578–584. doi:10.1111/j.1939-1676.2009.0289.x
  5. Rebhun RB, Kent MS, Borrofka SAEB, Frazier S, Skorupski K, Rodriguez CO. CHOP chemotherapy for the treatment of canine multicentric T-cell lymphoma. Vet Comp Oncol. 2011;9(1):38–44. doi: 10.1111/j.1476-5829.2010.00230.x
  6. Musser ML, Clifford CA, Bergman PJ, et al. Randomised trial evaluating chemotherapy alone or chemotherapy and a novel monoclonal antibody for canine T-cell lymphoma: a multicentre US study. Vet Rec Open. 2022;9(1):e49. doi:10.1002/vro2.49
  7. Camus MS, Priest HL, Koehler JW, et al. Cytologic criteria for mast cell tumor grading in dogs with evaluation of clinical outcome. Vet Pathol. 2016;53(6):1117–1123. doi:10.1177/0300985816638721
  8. Scarpa F, Sabattini S, Bettini G. Cytological grading of canine cutaneous mast cell tumours. Vet Comp Oncol. 2016;14(3):245–251. doi:10.1111/vco.12090.
  9. Hanazono K, Fukumoto K, Endo Y, et al. Ultrasonographic findings related to prognosis in canine transitional cell carcinoma. Veterinary Radiology and Ultrasound. 2013;55(1):79–84. doi:10.1111/vru.12085
  10. Mochizuki H, Kennedy K, Shapiro SG, Breen M. BRAF mutations in canine cancers. PLoS One. 2015;10(6):e0129534.doi: 10.1371/journal.pone.0129534.
  11. Sadowski AR, Gardner HL, Borgatti, A, et al. Phase II study of the oral selective inhibitor of nuclear export (SINE) KPT-335 (verdinexor) in dogs with lymphoma. BMC Vet Res. 2018;14(1):250. doi:10.1186/s12917-018-1587-9
  12. Bergman PJ, Ogilvie GK, Powers BE. Monoclonal Antibody C219 Immunohistochemistry Against P-Glycoprotein: Sequential Analysis and Predictive Ability in Dogs With Lymphoma. J Vet Intern Med. 1996;10(6):354-359. doi:10.1111/j.1939-1676.1996.tb02080.x
  13. Vlodaver EM, Keating MK, Bidot WA, Bruyette DS, Rosenkrantz WS, et al. Open-label pilot study: Efficacy of verdinexor for naïve canine epitheliotropic cutaneous T-cell lymphoma. Vet Dermatol. 2024;35(1):536-546. doi:10.1111/vde.13280
  14. Grady JL, Gencher J, Adrianowycz S, Martinez-Romero G. Clinical remission of cutaneous lymphoma in a dog treated with verdinexor. J Am Anim Hosp Assoc. 2024;60(5):223-226. doi:10.5326/JAAHA-MS-7443
  15. Miller J, et al. Dose characterization of the investigational anticancer drug tigilanol tiglate (EBC-46) in the local treatment of canine mast cell tumors. Front Vet Sci. 2019;6:106. doi:10.3389/fvets.2019.00106
  16. Reddell P, De Ridder TR, Morton JM, et al. Wound formation, wound size, and progression of wound healing after intratumoral treatment of mast cell tumors in dogs with tigilanol tiglate. J Vet Intern Med. 2021;35(1):430-441. doi:10.1111/jvim.16009
  17. Jones PD, Campbell JE, Brown G, Johannes CM, Reddell P. Recurrence-free interval 12 months after local treatment of mast cell tumors in dogs using intratumoral injection of tigilanol tiglate. J Vet Intern Med. 2021;35(1):451–455. doi:10.1111/jvim.16018
  18. Musser ML,Jones PD,Goodson TL,Roof E,Johannes CM.Response to tigilanol tiglate in dogs with mast cell tumors. J Vet Intern Med. 2024; 38(6):3162-3169. doi:10.1111/jvim.17211
baltimore conference logo
});